Brain Mri Anatomy
Genu of corpus callosum head of caudate nucleus genu of internal capsule putamen external capsule thalamus third ventricle tail of caudate nucleus fornix choroid plexus splenium of corpus callosum. Structure and function.
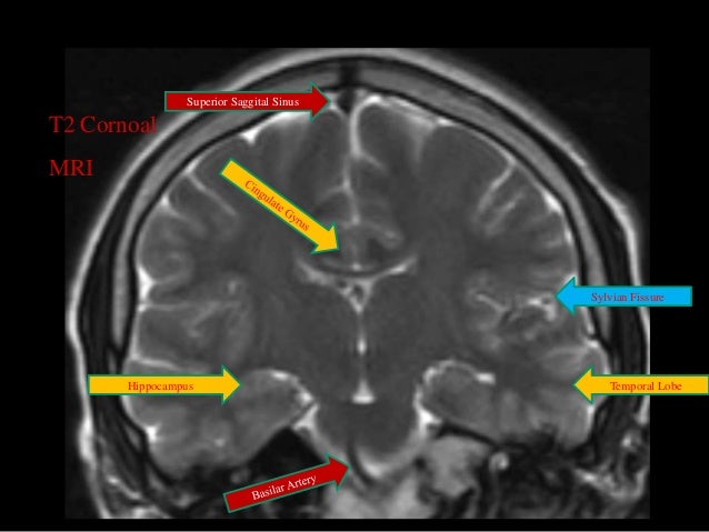
Well Labelled Mri Of The Brain Studykorner
Developed by jeffrey e.
Brain mri anatomy. To load the brain mri anatomy module in a new window click on its image above. The module interface is meant to mimic a radiology workstation with adjacent image scrolling via arrow keys and or mouse wheel button. Cerebrovascular disease stroke or brain attack.
Brain mri anatomy self assessment presents animated interaction quizzes for students to practice identifying mri structures per brain transverse level. Zapawa and anthony l. The anatomy of the brain is studied by means of axial coronal and sagittal views.
Hnbs neuroanatomy modules brain mri. Welcome to the brain module. A review of brain magnetic resonance imaging mri is used as support.
Frontal lobe parietal lobe temporal lobe. Axial view coronal view. Normal anatomy in 3 d with mripet javascript atlas of normal structure and blood flow.
Top 100 brain structures. Structure and function. The mri sequence used is a 3d gradient echo t1 weighted.
Can you name these brain structures. Real time interface human sectional anatomy. Mri of the brain click images to enlarge radiology of brain tumors can be found elsewhere on this site as well as brain tumor mimics.
Welcome to online mri ct sectional anatomy. Online mri ct sectional anatomy omcsa k anatomy is probably one of the most user friendly and convenient online interface for human anatomy atlas. Select one of the following views.
Unable to process the form. Profiling cerebral anatomic zones. Randomly arranged terms are matched to mri structures by a sequential clicktap of a term and then an mri target.
Anatomy of the brain mri cross sectional atlas of human anatomy cerebral images used for this module on human anatomy. Use the mouse scroll wheel to move the images up and down alternatively use the tiny arrows on both side of the image to move the images. Check for errors and try again.
Given that the file is large loading may take a few minutes. This mri brain cross sectional anatomy tool is absolutely free to use. Cerebrum with the various lobes.
A connected line appears when the choice is correct.
Brain Anatomy Mri Coronal Brain Anatomy Free Mri Cross
Brain Atlas Of Human Anatomy With Mri
Brain Lobes Annotated Mri Radiology Case Radiopaedia Org
Mobile Mri Brain Atlas Medical App Review Neurorad Mini
Atlas Of Regional Anatomy Of The Brain Using Mri Springerlink
Science Source Sagittal Brain Mri
Mri Atlas Of Pediatric Brain Maturation And Anatomy
Mri Sectional Anatomy Of Brain
Medpix Case Normal Brain Anatomy Axial Coronal Sagittal
Imaging Anatomy Of The Human Brain A Comprehensive Atlas
Mri Brain Anatomy Dr Muhammad Bin Zulfiqar
Mr Axial Brain W Sag Reference Mp4
The Radiology Assistant Brain Anatomy
Mri Of Normal Brain Anatomy As Related To Contents Of
Mri Anatomy Free Mri Axial Brain Anatomy
Radiology Anatomy Images Brain Sagittal Mri Anatomy
Nih Awards 47m For Imaging Study Investigating Lifestyle
Medical Imaging And Radiological Anatomy X Ray Ct Mri
Download Mri Atlas Of Pediatric Brain Maturation And Anatomy
Mri Sectional Anatomy Of Brain
Mri Sectional Anatomy Of Brain

Belum ada Komentar untuk "Brain Mri Anatomy"
Posting Komentar