Ct Head Anatomy
Anatomy ct axial brain form no 18. Jakab m kikinis r.
Brain And Face Ct Interactive Anatomy Atlas
Thoracolumbar junction ct.
Ct head anatomy. Ct head neck atlas. Angiogram axial ct head. Given that the file is large loading may take a few minutes.
To load the neck ct anatomy module in a new window click on its image above. This article lists a series of labeled imaging anatomy cases by system and modality. Ct images of the brain are conventionally viewed from below as if looking up into the top of the head.
Anatomy of the head on a cranial ct scan. Non contrast axial ct head. Cross sectionnal anatomy of the head on a cranial ct scan.
Neck ct cervical lymph node levels. Brain bones of cranium sinuses of the face. Brain bones of skull paranasal sinuses.
Head ct anatomy normal anatomy 1. Interactive anatomy atlas. 6 frontal bone 27 occipital bone 32 optic nerve 37 basilar artery 40 hemisphere of cerebellum 43 frontal sinus 45 sigmoid sinus 46 internal carotid artery 47 sphenoid bone 49 medulla oblongata 50 external auditory meatus 51 spinal central canal.
Angiogram coronal ct head. Skull ct anatomy the sagittal suture is the line where the right and left parietal bone are in contact. Ct brain image orientation.
This means that the right side of the brain is on the left side of the viewer. Coronal brain ct. Brain and face ct.
The anterior part of the head is at the top of the image. Non contrast sagittal ct head. Hnbs neuroanatomy modules neck ct.
Spl head and neck atlas 2012 november. Non contrast coronal ct head. The coronal suture is the line where the parietal bone frontal bone and are in contact.
Head and neck atlas.
Normal Brain Ct Mri Imaging In Arabic Prof Dr Mamdouh Mahfouz
Complete Anatomy The World S Most Advanced 3d Anatomy Platform
The Radiology Assistant Brain Anatomy
Radiology Normal Brain Anatomy Ct And Mri Youtube
Normal Head Ct Scan Anatomy Made Simple Neuroradiology
Head Ct Interpretation Made Easy
Medical Imaging And Radiological Anatomy X Ray Ct Mri
Head Ct Scan Procedure Radtechonduty
The Radiology Assistant Brain Anatomy
Brain And Face Ct Interactive Anatomy Atlas
Pocket Atlas Of Ct Head For Android Apk Download
Pocket Atlas Of Normal Ct Anatomy Of The Head And Brain
Posterior Cerebral Artery Stroke Background Anatomy
The Canine Head And Skull Ct Atlas Of Veterinary Clinical
Brain And Face Ct Interactive Anatomy Atlas
Figure 69 5 From How To Read A Head Ct Scan Semantic Scholar
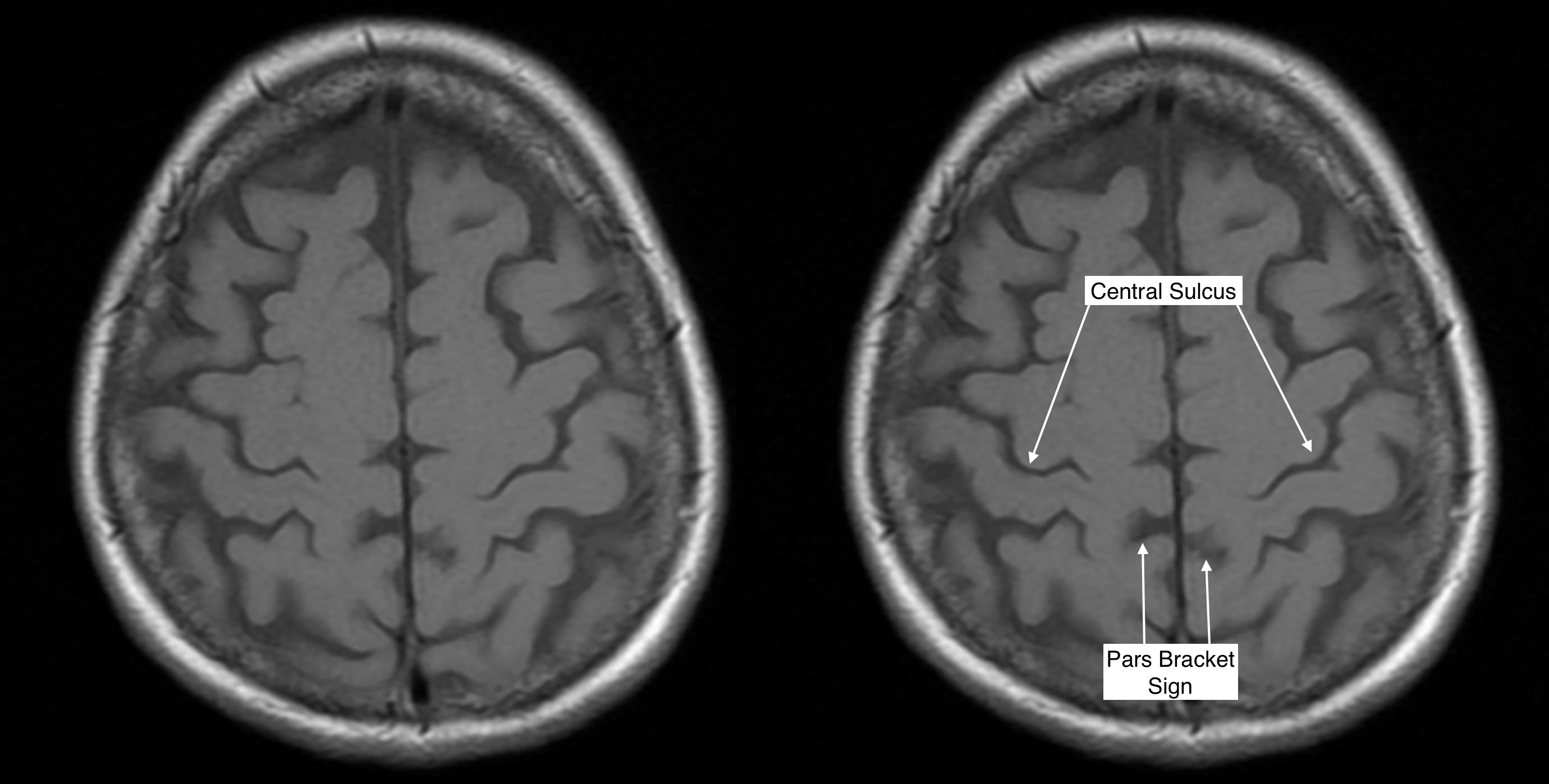
Radiological Anatomy Central Sulcus Stepwards











Belum ada Komentar untuk "Ct Head Anatomy"
Posting Komentar