Ct Anatomy
Angiogram axial ct head. Talos i f jakab m kikinis r.
Basic Anatomy Of Ct Brain Hku E Learning Platform In
Prep for a quiz or learn for fun.
Ct anatomy. Study ct anatomy using smart web mobile flashcards created by top students teachers and professors. Ho bachelor of medicine bachelor of surgery university of hong kong fellow hong kong college of radiologists fellow hong kong academy of medicine radiology real time interface human sectional anatomy. Non contrast sagittal ct head.
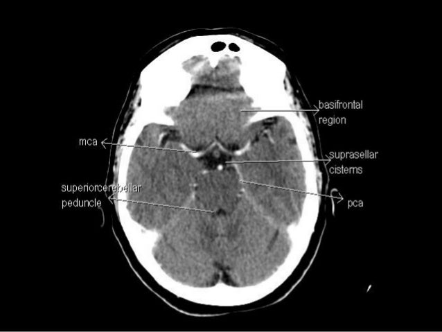
Non contrast axial ct head. The anterior part of the head is at the top of the image. Ct images of the brain are conventionally viewed from below as if looking up into the top of the head.
This article lists a series of labeled imaging anatomy cases by system and modality. Angiogram coronal ct head. Online mri ct sectional anatomy omcsa k anatomy is probably one of the most user friendly.
This means that the right side of the brain is on the left side of the viewer. Welcome to online mri ct sectional anatomy. This photo gallery presents the anatomy of the abdomen by means of ct axial coronal and sagittal reconstructions.
Atlas of ct anatomy of the abdomen. Non contrast coronal ct head. Ct cross sectional anatomy of brain chest abdomen paranasal sinusus neck temporal bone heart slideshare uses cookies to improve functionality and performance and to provide you with relevant advertising.
Online mri ct sectional anatomy kenneth k. Once the normal structures are identified abnormalities can be detected and a diagnosis may be possible. Cranial cross sectional anatomy is very important to know prior to analyzing a head ct.
Symmetry is an important concept in anatomy and is almost always present in a normal head ct unless the patient is incorrectly positioned with the head cocked at an angle. Ct brain image orientation.
Radiology Basics Abdomen Anatomy
Ct Anatomy Of The Pterygopalatine Fossa Asterisk A An
Chest Anatomy Mri Chest Thorax Axial Anatomy Free Cross
Brain And Face Ct Interactive Anatomy Atlas
Facial Nerve Anatomy Labeled Ct Radiology Case
Ct Scan Cross Sectional Anatomy For Android Apk Download
Game Statistics Normal Axial Ct Anatomy Purposegames
Ct Chest Radiology Imaging Radiology Interventional
Medical Imaging And Radiological Anatomy X Ray Ct Mri
The Radiology Assistant Brain Anatomy
Pertinent Ct Anatomy Of The Neck For Interpreting Pet Ct
Ecr 2012 C 1245 Review Of Imaging Anatomy And Pathology
The Radiology Assistant Brain Anatomy
Cranial Ct Anatomy A Simple Image Guide For Medical
Stroke Medicine For Stroke Physicians And Neurologists
Chest Ct Scan Imaging Radtechonduty
Ct Scan Tips Protocols Pulmonary Ct Anatomy
Ct Anatomy 25 Neurology Networks
Radiology Basics Chest Anatomy
Radiology Anatomy Images Temporal Region Ct Anatomy
Orbital Apex Anatomy Ct Axial And Coronal Ct Slices
Overview Of Skull Base Anatomy
Brain And Face Ct Interactive Anatomy Atlas
Ct Anatomy App Helps Users Learn General Anatomy Using Full



Belum ada Komentar untuk "Ct Anatomy"
Posting Komentar